Um UltimaDent
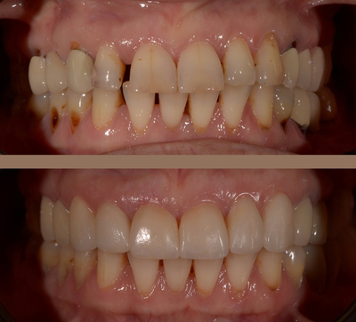
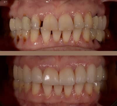
Erleben Sie mit UltimaDent erstklassige Zahnpflege in Izmir, Türkei. Wir kombinieren Spitzentechnologie und Fachwissen, um Ihnen die besten Zahnbehandlungen zu bieten.



Review Summary of UltimaDent
This Summary is AI-generated.
Medizinisches Zentrum Bewertungen
Erleben Sie mit UltimaDent erstklassige Zahnpflege in Izmir, Türkei. Wir kombinieren Spitzentechnologie und Fachwissen, um Ihnen die besten Zahnbehandlungen zu bieten.



This Summary is AI-generated.
Inserat teilen